
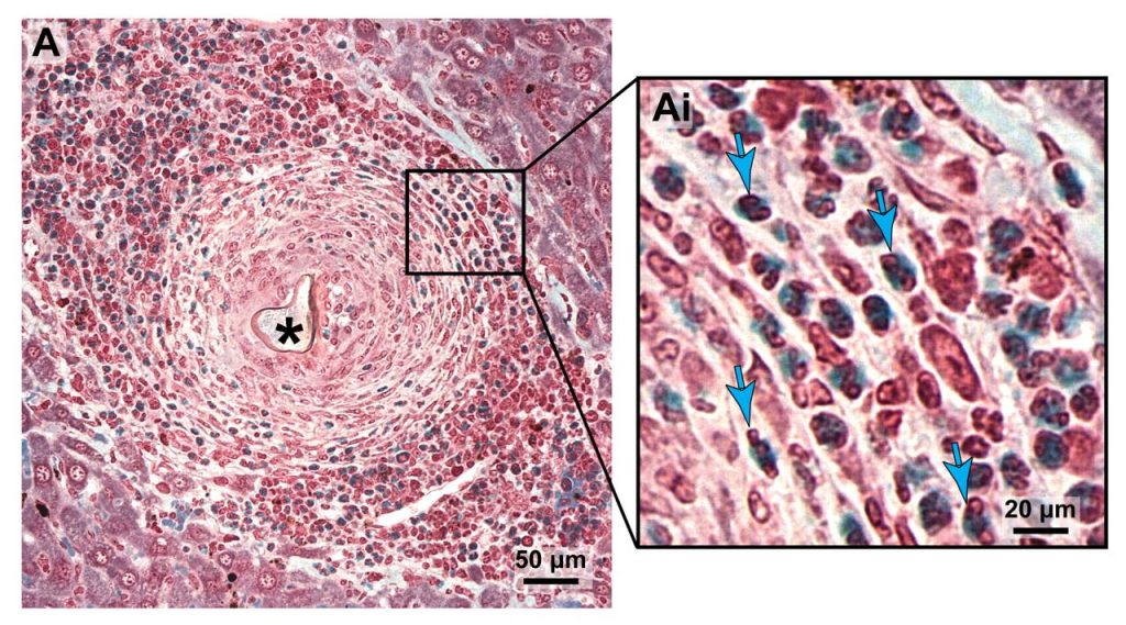
Foto A é um granuloma representativo com várias células do sistema imune circundando o ovo do parasito causador da esquistossomose. Ai é uma aproximação da área demarcada destacando os eosinófilos, células coradas em verde. Vemos que estão bem espalhados nas regiões periféricas do granuloma, formando um nicho ecológico no interior da estrutura, conforme os achados do trabalho. (Imagens de divulgação)
Conhecida desde a antiguidade, com rastros encontrados até em múmias do Egito Antigo, a esquistossomose ainda representa um grande desafio para a medicina. Não existe uma vacina eficaz e o tratamento depende de um único medicamento – o praziquantel – que tem eficácia incompleta, fornecimento e acessibilidade limitados e possibilidade de resistência. Tendo como principais sintomas a febre, dor de cabeça, calafrios, tosse e diarreia, ela representa a segunda principal causa de mortes no país entre as Doenças Tropicais Negligenciadas (DTN).

Rossana Melo, professora da UFJF e pesquisadora 1B do CNPQ, é uma das autoras do artigo. (Foto: Arquivo pessoal)
Dedicado a investigar como o sistema imunológico humano responde à esquistossomose, Rossana Melo e outros pesquisadores do Laboratório de Biologia Celular do Instituto de Ciências Biológicas (ICB/UFJF) mostram que, diferente do que se acreditava anteriormente, algumas células de defesa do sistema imunológico – os eosinófilos – podem estar associadas à evolução da doença para quadros crônicos.
Um dos artigos resultantes da pesquisa foi publicado na revista Science Advances da American Association for the Advancement of Science – maior sociedade científica do mundo.
O ciclo da esquistossomose

Luccas Miranda Barata um dos autores principais do artigo é doutor em Biologia Celular. (Foto: Divulgação)
A esquistossomose atinge, sobretudo, as populações mais pobres e com menor acesso a serviços de saúde. O Censo 2022 mostra que 49 milhões de brasileiros ainda vivem em residências sem acesso adequado ao esgoto, 18 milhões não têm coleta de lixo, 6 milhões não têm abastecimento de água adequado e 1,2 milhão não possuem banheiro ou vaso sanitário.
O contágio acontece quando o indivíduo entra em contato com águas contaminadas pelas cercárias, a forma larval do parasito. Essas larvas penetram na pele da pessoa e atingem a corrente sanguínea, migrando por todo o corpo. A partir desse ponto, as larvas se desenvolvem, atingem a maturidade sexual, acasalam-se e começam a produzir ovos que são liberados até atingir órgãos como o fígado, o baço, o pulmão e o intestino. No intestino, esses ovos entram nas fezes e, quando eliminadas inadequadamente, dão continuidade ao ciclo da doença.
Eosinófilos: agente duplo a serviço do hospedeiro e do parasito
Apesar dos grandes avanços na compreensão da esquistossomose, sua característica patológica mais proeminente – o granuloma – ainda não foi esclarecida. O granuloma é uma reação inflamatória celular estimulada pelo sistema imune. “Ele serve como uma forma de proteção contra os ovos do parasito, impedindo que suas toxinas se disseminem pelos órgãos do hospedeiro. Porém, ele também acaba conferindo alguns benefícios ao próprio parasito, ocasionando uma maior inflamação no tecido e, consequentemente, maior gravidade da doença”, esclarece Luccas Barata, um dos autores principais do artigo. A longo prazo, o granuloma pode levar à manifestações mais graves da doença.
“Pesquisa pode contribuir para um melhor entendimento da complexidade da esquistossomose e para o desenvolvimento de novas terapias, métodos de prevenção e de tratamento inovadores” Luccas Barata.
Estudos in vitro – em laboratório, fora dos sistemas vivos -, a maioria realizados na década de 1970, demonstraram que os eosinófilos, células enviadas pelo sistema imune, encontradas em abundância nos granulomas, causavam a morte de larvas e ovos do parasito. Porém, a falta de evidências em modelos animais e em estudos em seres humanos para confirmar tal função dessas células impede o avanço da pesquisa no contexto dessa doença. “Então, nosso grupo resolveu revisitar todos os dados e fazer um estudo aprofundado sobre as reais funções que essas células exercem no contexto da esquistossomose”, explica Barata.
A partir da aplicação de diversas técnicas de análises histológicas, de microscopia eletrônica, reconstruções tridimensionais do granuloma, o grupo chegou à conclusão que os granulomas apresentam um “nicho ecológico” para os eosinófilos na região periférica dentro da estrutura do granuloma.” O pesquisador explica que esse nicho é uma região onde essas células estão mais afastadas do ovo do parasito e não próximas a ele como se acreditava. “Esperava-se que essas células estivessem ocupando espaços mais próximos do ovo do parasito para combatê-lo. Como estão mais afastadas, isso indica que essas células podem estar, na verdade, atuando no que nós chamamos de modulação do granuloma, fazendo com que ele persista por longos períodos de tempo.”
O vídeo abaixo foi produzido pela equipe do Laboratório de Biologia Celular:
Ecologia celular: importante campo para o estudo da doença
O trabalho do grupo faz parte da área de ecologia celular. “É uma área de ponta que procura entender a célula no microambiente. Quando nós falamos sobre ecologia pensamos muito no macro, naquilo que podemos enxergar, mas existe um microambiente. Esse campo de estudo busca entender como a célula está posicionada nesse microambiente, facilitando o entendimento do mecanismo da doença”, destaca Rossana Melo, coordenadora do grupo de pesquisa e docente do PPG em Biologia Celular.
“A descoberta dessa pesquisa pode contribuir para um melhor entendimento da complexidade da esquistossomose e para o desenvolvimento de novas terapias, métodos de prevenção e de tratamento inovadores”, conclui Luccas Barata.
Outras informações:
Centro Nacional de Inteligência Epidemiológica e Vigilância Genômica – Painel Esquistossomose
Ciência como arte: células em exposição internacional
Professora da UFJF publica livro em conjunto com cientistas de Harvard
