Schistosoma mansoni: O parasito e seu ciclo biológico
Por: Michélia Antônia do Nascimento Gusmão e Danielle Gomes Marconato
O gênero Schistosoma pertence à classe Trematoda, família Schistosomatidae e subfamília Schistosomatinae. Os representantes dessa subfamília apresentam um acentuado dimorfismo sexual, são heteroxênicos e parasitam os vasos sanguíneos de mamíferos, os quais são seus hospedeiros definitivos. As espécies do gênero Schistosoma com importância epidemiológica na medicina humana são: Schistosoma mekongi, Schistosoma intercalatum, Schistosoma japonicum, Schistosoma haematobium e Schistosoma mansoni; sendo as três últimas os principais agentes etiológicos da esquistossomose humana, com distribuição geográfica diferente, além de características morfológicas e fisiológicas próprias 1,2.
Schistosoma haematobium, que tem como hospedeiro intermediário caramujos do gênero Bulinus, habita o plexo vesical do hospedeiro mamífero, sendo a espécie responsável pela esquistossomose urinária na África e Península Arábica. O Schistosoma japonicum que tem o molusco Oncomelania como vetor, causa a esquistossomose hepatoesplênica e intestinal na China, Filipinas e Indonésia. O parasito S. mansoni, o qual é mantido no ambiente por caramujos Biomphalaria (Mollusca: Gastropoda: Pulmonata: Planorbidae), é responsável pela doença em sua forma hepática e intestinal na África, Península Arábica e América do Sul 3.
No Brasil, o agente causador da esquistossomose humana é o S. mansoni 4. A manutenção de seu ciclo biológico (Figura 1 link) exige as formas de: verme adulto-macho e fêmea, ovo, miracídio, esporocisto, cercária e esquistossômulo 1.
O parasito S. mansoni tem um ciclo de vida complexo que envolve um hospedeiro intermediário, o molusco aquático do gênero Biomphalaria, e um hospedeiro definitivo vertebrado (homem, podendo parasitar outros mamíferos). Essa espécie desenvolve sua fase adulta parasitando a luz dos vasos sanguíneos de seus hospedeiros mamíferos, onde habita preferencialmente as vênulas do plexo hemorroidário superior e nas ramificações mais finas das veias mesentéricas, principalmente a inferior, local de oviposição das fêmeas. A produção de ovos, cerca de 150 a 300 ovos por dia 5, tem início 4 a 6 semanas após a infecção e continua por toda a vida do verme, que pode ser até mais de 15 anos no hospedeiro definitivo 6.
Após atravessarem a mucosa intestinal, cerca de metade dos ovos são eliminados com as fezes atingindo o meio externo e os outros 50% são carreados pela circulação portal e ficam retidos nos mais diversos tecidos do hospedeiro, podendo induzir a formação de granulomas hepáticos e intestinais, hepatoesplenomegalia e fibrose peritportal 7. O trajeto dos ovos entre a oviposição e a eliminação nas fezes demora cerca de uma semana 5,8.
Os ovos que conseguem ser eliminados pelas fezes e contém os miracídios desenvolvidos e em sua forma viável, ao entrarem em contato com a água e sob luminoso intenso, temperaturas mais altas e oxigenação, sofrem ruptura transversal e liberam suas larvas. Os miracídios, após a eclosão, nadam em círculos por algumas horas até encontrar moluscos aquáticos do gênero Biomphalaria 8. Nos hospedeiros intermediários, ocorre a multiplicação destas formas do parasito, resultando em uma forte sintonia entre o metabolismo do hospedeiro invertebrado e do parasito 5,9.
Figura 1. Ciclo biológico do parasito. Extraído de http://www.cve.saude.sp.gov.br/htm/hidrica/IF_ESQUI05.htm
Existem descritas no Brasil, até o momento, onze espécies e uma subespécie do gênero Biomphalaria. Dentre as espécies, B. glabrata (Figura 2), B. tenagophila (Figura 3) e B. straminea (Figura 4) foram encontradas naturalmente infectadas por S. mansoni, sendo B. glabrata o hospedeiro intermediário melhor adaptado para a transmissão de S. mansoni em nosso país devido à sua ampla distribuição geográfica, altas taxas de infecção e eficiência na transmissão. Outras três espécies (B. amazonica, B. peregrina e B. cousini) tem sido consideradas como potenciais hospedeiros intermediários 9.
Figura 2. Conchas de B. glabrata. Arquivo do Laboratório de Estrutura e Função de Proteínas/Departamento de Bioquímica/ICB/UFJF.
Figura 3. Conchas de B. tenagophila. Arquivo do Laboratório de Estrutura e Função de Proteínas/Departamento de Bioquímica/ICB/UFJF
Figura 4. Conchas de B. straminea. Arquivo do Laboratório de Estrutura e Função de Proteínas/Departamento de Bioquímica/ICB/UFJF.
A espécie B. glabrata foi notificada em 16 estados brasileiros (Figura 5): Alagoas, Bahia, Espírito Santo, Goiás, Maranhão, Minas Gerais, Pará, Paraíba, Paraná, Pernambuco, Piauí, Rio Grande do Norte, Rio Grande do Sul, Rio de Janeiro, São Paulo e Sergipe, além do Distrito Federal, em 806 municípios e na linha costeira 5.
Figura 5. Mapa da distribuição espacial de Biomphalaria glabrata no Brasil. Extraído de Carvalho et al., 2008.
O parasito S. mansoni infecta o molusco Biomphalaria por meio da penetração ativa da larva ciliada do parasito, o miracídio, em partes expostas do caramujo, frequentemente a base da antena e a massa cefalopodal 10. A penetração do miracídio no molusco é fortemente influenciada pela temperatura, uma vez que a redução de 1º C (de 26º C para 25º C) levaria a uma redução de 80% a 40% na taxa de infecção. No processo de penetração, os parasitos sofrem mudanças morfológicas e fisiológicas, se transformam em esporocisto primário que permanece no tecido fibro-muscular da região cefalopodal do hospedeiro próximo ao sítio de penetração 5.
Após a penetração bem sucedida no caramujo, os miracídios, por reprodução assexuada, se transformam em esporocistos-mãe ou esporocistos primários (vistos após 72 horas de infecção) que aumentam de tamanho com a duração da infecção sendo encontrados nesse período na região da cabeça e dos pés entre 7 e 9 dias. Por volta de 14 dias após a infecção do caramujo, em condições ideias de temperatura, entre 25º C e 28º C, ocorrerá a formação dos esporocistos secundários, a qual poderá ser retardada abaixo de 20º C. Por volta dos 15 dias alguns esporocistos secundários foram encontrados na glândula digestiva e 25 dias após a infecção do molusco, esses esporocistos foram encontrados ao longo dos tecidos ao redor da gônada. Nesse período, diferentemente do habitual, uma concentração maior de amebócitos estão presentes em volta do parasito. Todos os espaços entre a glândula digestiva e as gônadas foram ocupados por metaesporocistos, ou seja, os esporocistos secundários contêm cercarias em desenvolvimento 5,11.
A formação de cercárias, até sua emergência para o ambiente aquático, pode ocorrer dentro de um período de 27 a 30 dias, em condições ideais de temperatura (cerca de 28º C). A cercárias mais diferenciadas no interior do molusco predominam na região cefalopodal porém, as várias etapas de diferenciação dessas larvas ocorrem nos locais usualmente mais parasitadas, como as glândulas digestivas, ovotéstis e túbulos renais. Entretanto, elas podem ser encontradas em locais pouco comuns, como no coração, glândula nidamental, nas glândulas do albúmen, etc 5.
Por volta de 55 dias, um grande número de cercarias completamente desenvolvidas migram para os vasos sanguíneos principais e estão a caminho de deixar o molusco. Em alguns trabalhos, autores têm relatado que poucos danos aos órgãos viscerais e um aumento no número de amebócitos durante o desenvolvimento do parasito, especialmente quando as cercarias emergiram do hospedeiro e algumas estruturas “like-granuloma” foram também foram noticiadas. A quantidade de glicogênio que foi muito alta durante as primeiras quatro semanas de infecção tornou-se extremamente reduzida. Poucos danos foram notados nos órgãos viscerais embora pareça que o crescimento das gônadas tenha sido retardado. Um único miracídio pode gerar cerca de 300 mil cercárias, sendo que cada miracídio já leva definido o sexo das cercárias que serão produzidas 12.
Após quatro a seis semanas de infecção, as cercárias são liberadas pelo molusco estimuladas pela luminosidade e nadam ativamente em busca do hospedeiro definitivo 2,3. Além disso, podem permanecer na água pelo período de no máximo 72 horas, até esgotarem suas reservas de glicogênio 12.
A cercária possui cerca de 500 µm de comprimento, corpo alongado e cauda bifurcada (Figura 6). A superfície externa do tegumento apresenta numerosas moléculas de glicocálix, importantes na proteção da permeabilidade 5. Outras estruturas que podem ser identificadas incluem: papilas sensoriais, localizadas no tegumento atuando como receptores químicos, mecânicos e fotossensíveis; ventosa oral e ventosa ventral (acetábulo), a última formada por um complexo de músculos circulares e longitudinais. Uma vez fixada na epiderme, o acetábulo age como uma âncora enquanto a ventosa oral tenta ultrapassar a barreira da pele 13 .
Em contato com a água contaminada, o humano (hospedeiro definitivo) se infecta através da penetração ativa das cercárias na pele (Neves, 2005). Em resposta a estímulos químicos, como ácidos graxos, o processo de invasão é iniciado devido a intensa vibração da cauda da cercária e produção de substâncias que visam destruir células epidérmicas 5,14.
Figura 6. Microscopia eletrônica de varredura de cercária de Schistosoma mansoni. Na imagem é possível observar a ventosa oral (a), boca (b), acetábulo (c), junção do talo, talo (e) e bifurcação do talo (f). Adaptado de Dorsey et al., 2002.
Após a invasão da pele, que ocorre em poucos minutos, as cercárias perdem a cauda e passam por outras transformações morfológicas e bioquímicas dando origem aos esquistossômulos. Estes deslocam-se pela epiderme e derme em busca dos vasos sanguíneos ou linfáticos 2,3,5, 15.
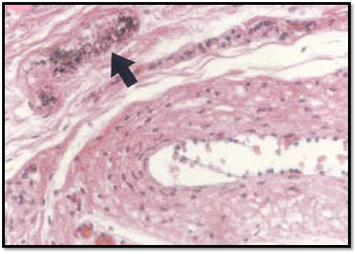
Atingindo a circulação, os esquistossômulos (Figura 7) dirigem-se ao pulmões, onde passam por mais alterações, entre elas, remodelação do tegumento, com o objetivo de se adaptarem a vida parasitária. Cerca de 21 dias após a infecção, chegam ao fígado, onde completam seu desenvolvimento e posteriormente se transformam em vermes adultos 5,15.
Figura 7. Corte histológico da pele. Esquistossômulo é identificado (seta) próximo ao vaso sanguíneo após 72 h de infecção. Corte corado com H&E, aumento 100x. Adaptado de He, Cheng & Ramaswamy, 2002 19
Os vermes adultos (Figura 8) se desenvolvem na luz das veias do sistema porta-hepático no hospedeiro definitivo. Alimentam-se de hemácias, obtendo hemoglobina para seu crescimento, desenvolvimento e reprodução através da ruptura dessas células 2,16.
O verme macho tem cerca de 1 cm, possui cor esbranquiçada, tegumento coberto por tubérculos e seu corpo é dividido em uma porção anterior, composta por duas ventosas, e na porção posterior, onde localiza-se o canal ginecóforo. Nesta região, a fêmea, de coloração mais escura e com cerca de 1,5 cm, é fecundada 5 .
O tegumento dos vermes adultos é constituído por uma membrana dupla e apresenta invaginações que aumentam a área superficial e, portanto, a captação de nutrientes do meio 17. O parasito é capaz de renovar seu tegumento constituindo uma estratégia de evasão do sistema imune do hospedeiro. Além disso, moléculas antigênicas da membrana interna podem ser mascaradas pela membrana interna, ficando indetectáveis aos anticorpos da circulação 18.
Do sistema porto-hepático, os vermes adultos migram para os vasos mesentéricos, local onde ocorre a oviposição, reiniciando o ciclo 2,3,16.
Figura 8. Vermes adultos acasalados de S. mansoni. Aumento de 40x. Adaptado de http://belanich.pbworks.com/w/page/13055428/Trematodes








